Tratamento Endovascular do AVC Isquêmico: A Revolução Silenciosa que Salva Vidas
Postado em: 03/10/2025
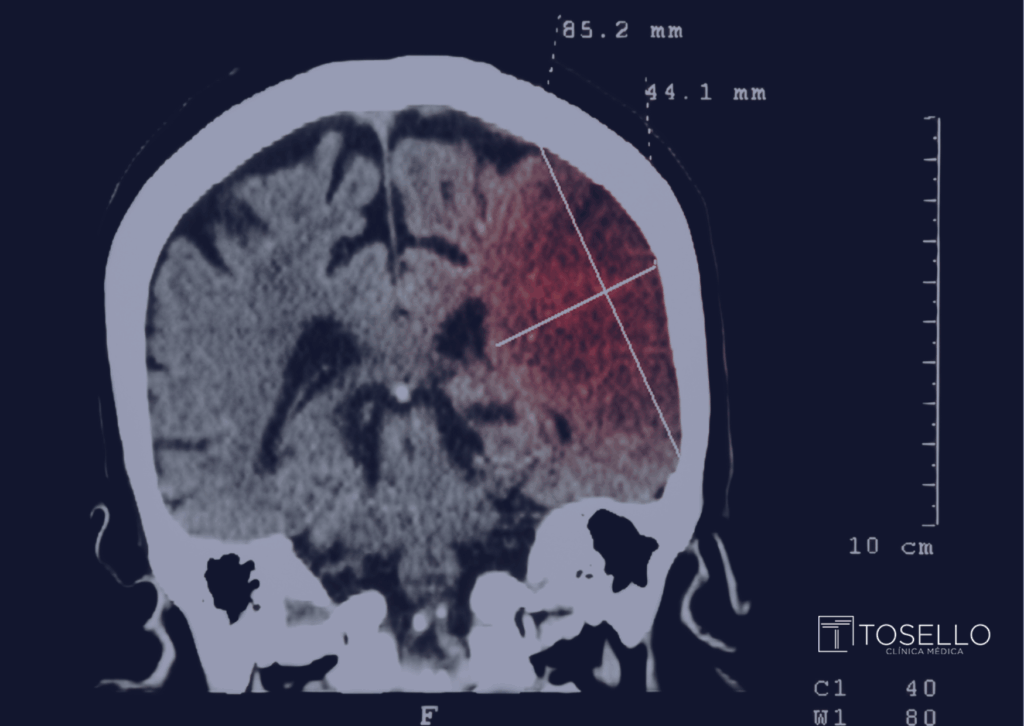
O que é o AVC Isquêmico e por que ele preocupa?
O AVC (Acidente Vascular Cerebral) isquêmico acontece quando um vaso sanguíneo que leva sangue ao cérebro é bloqueado, geralmente por um coágulo. É o tipo mais comum de AVC, responsável por cerca de 80% dos casos. No Brasil, segundo a Pesquisa FAPESP, o AVC segue entre as principais causas de morte e incapacidade, com milhares de pessoas afetadas todos os anos.
O grande problema é o tempo: a cada minuto em que o cérebro fica sem sangue, milhões de neurônios morrem. Isso significa que a rapidez no diagnóstico e no tratamento é decisiva.

As novas diretrizes brasileiras
Em 2023, sociedades médicas brasileiras como a SBDCV, a ABN, a Rede Brasil AVC e a SBNR publicaram diretrizes oficiais para padronizar o tratamento endovascular do AVC isquêmico. Esse documento trouxe segurança e clareza para médicos e hospitais sobre quando e como intervir.
A principal recomendação é a trombectomia mecânica — um procedimento endovascular que remove o coágulo do vaso cerebral usando microcateteres e dispositivos específicos. Essa técnica se consolidou como o padrão ouro para pacientes selecionados.
O papel da Neurorradiologia Intervencionista
A neurorradiologia intervencionista é a área que aplica técnicas minimamente invasivas, guiadas por imagem, para diagnosticar e tratar doenças cerebrovasculares. Em vez de abrir o crânio, o médico acessa os vasos pelo punho ou pela virilha, guiando cateteres até o cérebro.
No caso do AVC isquêmico, isso significa restaurar o fluxo sanguíneo em minutos. Estudos mostram que pacientes tratados precocemente têm muito mais chances de recuperar qualidade de vida e evitar sequelas graves.
Quem pode se beneficiar
Nem todo paciente com AVC isquêmico é candidato à trombectomia, mas as diretrizes ajudam a identificar os casos ideais:
- Oclusão de grandes artérias (como a cerebral média).
- Diagnóstico rápido por exames de imagem.
- Janelas de tempo ampliada até 24 horas, dependendo das condições.
Isso reforça a importância de hospitais preparados e equipes treinadas.
A realidade brasileira
Apesar do avanço científico, ainda temos desafios: desigualdade no acesso, falta de centros habilitados e demora para identificar o AVC. Muitas vezes, os pacientes chegam tarde demais ao atendimento. Por isso, campanhas de conscientização são essenciais — para que as pessoas reconheçam os sintomas e cheguem rápido ao hospital.
O futuro do tratamento
Com tecnologias cada vez mais avançadas, o planejamento do procedimento ficou mais preciso e seguro. A tendência é que cada vez mais pacientes tenham acesso a tratamentos personalizados e com menos risco.
O tratamento endovascular mudou o destino de milhares de pacientes com AVC isquêmico. Mas, para que esse avanço chegue a todos, é preciso unir ciência, estrutura hospitalar e consciência social.
Se alguém na sua família tem fatores de risco como hipertensão, diabetes e histórico de AVC, não espere os sintomas aparecerem. Agende uma avaliação em neurorradiologia intervencionista e conheça as formas de prevenção e tratamento que podem salvar vidas.
Dr. Renato Tosello – PhD
Neurorradiologista intervencionista
Doutorado pela Escola Paulista de Medicina – UNIFESP
CRM: 133.066
RQE 64312 | RQE 643121 | RQE 64379
