Você já ouviu falar na Neurorradiologia Intervencionista? Essa área da medicina faz toda a diferença para um diagnóstico preciso e um tratamento mais assertivo das patologias vasculares que acometem o cérebro e a medula espinhal. Saiba mais sobre ela a seguir!
O que é a Neurorradiologia Intervencionista?
É uma subespecialidade da medicina que utiliza de técnicas e tecnologias avançadas em imagem do sistema nervoso central para diagnóstico e tratamento de diversas patologias vasculares e tumores hipervasculares que acometem o cérebro, a coluna vertebral e medula espinhal, assim como a cabeça e o pescoço.
Esta especialidade exige profissionais experientes, com amplo conhecimento, dedicação exclusiva e certificados pela Sociedade Brasileira de Neurorradiologia Diagnóstica e Terapêutica AMB/CBR. Dividimos a especialidade em duas áreas:
Neurorradiologia Diagnóstica
Utiliza-se da alta tecnologia em equipamentos de angiografia, tomografia computadorizada e ressonância magnética de última geração para buscar o diagnóstico preciso das enfermidades, otimizando o manejo e resultados clínicos dos pacientes.
Neurorradiologia Terapêutica
Trata-se de procedimentos minimamente invasivos por via percutânea e endovascular, para tratamento de doenças cerebrovasculares de adultos e crianças, incluindo terapias de reperfusão no acidente vascular cerebral isquêmico (AVCI); embolização de aneurismas cerebrais, malformações vasculares do sistema nervoso central e tumores hipervasculares da cabeça, pescoço e coluna vertebral, assim como angioplastia e colocação de stent para doenças ateromatosas (estenose por placa de ateroma) das artérias cervicais e intracranianas.
No cenário das urgências vasculares, devemos enfatizar a capacidade de realização da terapia de retirada de trombo (coágulo) intra-arterial para os pacientes com AVCI e o tratamento de aneurisma cerebral roto.
Importância da Neurorradiologia Intervencionista na Medicina
A neurorradiologia intervencionista trabalha com procedimentos minimamente invasivos por via percutânea ou endovascular que, sob visualização em tempo real de imagens de alta resolução, consegue diagnosticar e tratar com precisão as diversas patologias vasculares que acometem o sistema nervoso central.
Ela traz mais segurança e bem-estar para os pacientes, desde os casos mais simples aos mais complexos. Suas tecnologias avançadas aumentaram o índice de cura e trouxeram uma redução significativa dos índices de complicação e mortalidade por doenças vasculares neurológicas, sendo uma verdadeira revolução na área médica.
Como a Neurorradiologia Intervencionista se diferencia de outras Áreas da Medicina?
A neurorradiologia intervencionista se diferencia por usar técnicas minimamente invasivas percutânea e endovascular, tanto para diagnósticos quanto para tratamentos das mais variadas patologias vasculares que acometem o cérebro e a medula. Sua tecnologia é um grande diferencial, que soluciona problemas de forma mais assertiva, com elevado índice de cura e baixo risco de complicação, proporcionando ao paciente uma recuperação mais rápida.
Técnicas de Neurorradiologia Intervencionista
Para explicar melhor o funcionamento da neurorradiologia intervencionista, separamos algumas das suas principais intervenções. Confira!
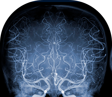
Angiografia
A angiografia é um exame realizado para visualizar o interior dos vasos sanguíneos. Ela permite detectar aneurismas, coágulos, dissecções arteriais, malformações arteriovenosas e tumores, entre outras demandas.
O exame é feito com a utilização de contraste iodado, injetado em uma artéria ou veia que vasculariza o cérebro e a medula espinhal a partir de um cateter endovascular.
Embolização
A embolização é um procedimento que através de diferentes dispositivos endovasculares visa impedir a entrada de sangue dentro de uma área adoecida de origem vascular (veia ou artéria), como aneurisma, tumores hipervasculares, dissecção arterial, malformação arteriovenosa, dentre outras.
Dissecção Arterial
As dissecções são problemas arteriais nos quais ocorre a ruptura repentina de uma das camadas das artérias, seguida de separação destas camadas após a entrada inadvertida de sangue entre elas. Dependendo das camadas das paredes da artéria acometida a dissecção pode evoluir com AVC isquêmico ou hemorrágico. O tratamento endovascular visa impedir a entrada inadvertida de sangue no local da dissecção arterial impedindo a progressão da doença, no qual pode ser feita de várias maneiras, mantendo a artéria acometida aberta ou fechando ela por completo. Para isto podemos utilizar alguns dispositivos endovasculares como balão, stent ou micromolas destacáveis.
Stenting
Os stents são pequenos tubos flexíveis feitos por uma malha de liga metálica (cromo, cobalto, nitinol, etc) que são colocados nas artérias ou veias para mantê-las abertas, melhorando o fluxo sanguíneo e prevenindo sua ruptura. Eles podem ser utilizados para o tratamento de aneurismas, estenoses e dissecções arteriais, por exemplo.
Indicações para Neurorradiologia Intervencionista
Como foi comentado, a neurorradiologia intervencionista pode ser utilizada em diversas patologias. Confira alguns dos casos em que ela é aplicada!
Doenças Vasculares do Sistema Nervoso Central
As doenças vasculares do sistema nervoso central podem ser quadros bem delicados, exigindo uma intervenção cuidadosa e assertiva. Esses problemas incluem o Acidente Vascular Cerebral (AVC), os aneurismas cerebrais, as malformações arteriovenosas, as ateromatoses, as dissecções arteriais, por exemplo.
Aneurismas Cerebrais
Os aneurismas cerebrais são dilatações ou bolsas formadas nas estruturas das artérias, que podem crescer e trazer o risco de rompimento ou comprometimento de estruturas próximas.
Tumores Hipervasculares
Os tumores hipervasculares possuem uma grande quantidade de vasos sanguíneos. Eles podem ser benignos — como alguns hemangiomas — ou malignos — como o angiossarcoma.
Malformações vasculares
As malformações vasculares podem surgir em qualquer parte do corpo, sendo mais comum no sistema nervoso central. Um exemplo desses problemas é o hemangioma: uma malformação vascular na qual ocorrem conexões anormais entre artérias e veias.
Vantagens da Neurorradiologia Intervencionista
Já deu para perceber que a neurorradiologia intervencionista traz uma série de benefícios para a medicina e para os pacientes, mas vamos demonstrar algumas das suas vantagens para reforçar sua importância. Confira!
Minimização do Tempo de Internação
Procedimentos minimamente invasivos deixam os pacientes menos vulneráveis que os métodos tradicionais. Assim, o tempo de internação é reduzido significativamente, podendo levar apenas um dia em muitos dos tratamentos.
Redução de Complicações
Os processos minimamente invasivos dispensam a necessidade de grandes cortes no corpo dos pacientes e de interferência em tecidos que não fazem parte do tratamento. Isso reduz os riscos de infecções e complicações durante o procedimento.
Melhoria na Qualidade de Vida dos Pacientes
Com as vantagens anteriores, a neurorradiologia intervencionista traz mais conforto e bem-estar para os pacientes. O processo de recuperação é simplificado e eles têm mais qualidade de vida durante o tratamento.
Preparo para o Procedimento
Agora que você já sabe como funcionam e quais as vantagens das técnicas de neurorradiologia intervencionista, vamos falar do preparo para as intervenções. Confira!
Exames Pré-Procedimento
Grande parte das intervenções de neurorradiologia intervencionista não exige muitos preparos antes da sua realização, geralmente se faz somente exames de rotina como de sangue e urina.
Instruções para o Paciente
É fundamental conferir com seu médico as orientações para o seu caso específico. Os cuidados podem mudar, inclusive, conforme as particularidades do indivíduo, então fique atento e tire todas as suas dúvidas com o profissional.
Escolha do Profissional Qualificado
Para escolher o melhor médico para seu tratamento, é importante observar se ele está registrado na Sociedade Brasileira de Neurorradiologia Diagnóstica e Terapêutica (AMB/CBR) e se tem certificado para o procedimento em questão. O profissional deve ser experiente e capacitado para oferecer o suporte necessário.
Procedimento de Neurorradiología Intervencionista
Agora que você sabe o que é importante antes da realização dos procedimentos de neurorradiologia intervencionista, vamos falar sobre como funcionam esses procedimentos, na prática!
Como o Procedimento é Realizado
Os exames e tratamentos da neurorradiologia intervencionista são feitos de forma endovascular. Eles se iniciam com pequenas punções, geralmente na área da virilha, por onde são introduzidos cateteres que serão guiados até o local necessário.
O médico controla esses equipamentos acompanhando as imagens do interior do paciente por um equipamento de hemodinâmica, chamado de angiógrafo, que emite raios x e projeta as imagens ao vivo em uma tela de televisão grande e de alta resolução.
Duração do Procedimento
A duração dos procedimentos de neurorradiologia intervencionista depende da questão a ser tratada. De modo geral, porém, eles são mais rápidos que as metodologias tradicionais. A angiografia, por exemplo, pode levar de 30 minutos a 2 horas para ser realizada.
Recuperação Pós-Procedimento
Por se tratarem de procedimentos minimamente invasivos, as técnicas de neurorradiologia intervencionista têm a recuperação mais rápida e menos dolorosa.
Os detalhes também dependem do tipo de tratamento, como nos casos de aneurisma, em que é preciso passar algum tempo na UTI antes de ser liberado para um quarto. De forma geral, o indivíduo fica 3 dias internado, voltando mais rápido para casa e para suas atividades.
Importância de Seguir as Instruções do Médico
Mesmo que o processo de recuperação seja mais simples, as questões tratadas como a neurorradiologia intervencionista ainda são delicadas. Para garantir sua segurança, sua recuperação e seu maior bem-estar, é preciso levar o tratamento a sério e cumprir todas as orientações no pré e no pós-operatório.
Importância de Acompanhamento Pós-Procedimento
O acompanhamento é fundamental para observar os resultados do procedimento e verificar sua eficácia. Ele também é essencial para garantir que o problema não volte a se desenvolver, mantendo o estado de saúde estável do paciente.
A Importância da Neurorradiologia Intervencionista para a Saúde
Como você pode ver, a neurorradiologia intervencionista consegue salvar vidas. Além da assertividade e segurança de seus procedimentos, seus efeitos colaterais ainda são bem raros, promovendo a tranquilidade e o bem-estar dos pacientes.
Quando Buscar Aconselhamento em Neurorradiologia Intervencionista
É possível contar com a neurorradiologia intervencionista logo no surgimento da suspeita de um problema nas estruturas do sistema nervoso. O médico responsável pelo seu caso é o mais indicado para apontar quando esse tipo de técnica pode ser utilizada.
Como é a consulta com Especialistas em Neurorradiologia Intervencionista
Na consulta serão feitas análises dos sintomas do paciente e de exames prévios, se ele já tiver realizado. O médico pode pedir outras avaliações, se achar necessário, para então definir o melhor caminho a seguir no tratamento.
A Neurorradiologia Intervencionista é uma área que faz toda a diferença para a medicina e para inúmeros pacientes. Agende sua consulta e venha conversar!